Orthodontie de l’adulte
Un traitement d’orthodontie peut être entrepris à tout âge. Il est d’autant plus bénéfique que la durée de vie augmente et nécessite de pouvoir conserver de bonnes dents jusqu’à un âge avancé.
Nous sommes conscients que les patients adultes ont toujours des hésitations à se lancer dans un traitement orthodontique, par peur des contraintes esthétiques, financières et d’inconfort.
Nos nouvelles techniques sont très esthétiques et confortables. Notre expérience en traitement des patients adultes, de tout âge, leur assure un traitement sur mesure et ils sont toujours très agréablement surpris et heureux de retrouver un sourire qu’ils n’espéraient plus.
Notre expertise
En fonction de votre besoin et de votre souhait, nous choisirons la technique qui vous correspond le mieux afin de réaliser un traitement sur-mesure.
Nous nous formons constamment et pourrons vous proposer des techniques classiques, tout comme les techniques les plus modernes.
Il existe plusieurs méthodes de travail, suivant que vous souhaitiez bénéficier d’une orthodontie classique ou invisible.
Le docteur Doris Uettwiller se tient à votre disposition pour répondre à vos attentes.
- Orthodontie invisible par aligneurs. Il s’agit de gouttières transparentes, portées sur les dents 22h sur 24h. Elles doivent être retirées uniquement pour prendre les repas et brosser les dents. Elles sont changées sur un rythme hebdomadaire ou bihebdomadaire. Elles constituent un mode de traitement très confortable.
- Orthodontie invisible par bagues individualisées, placées sur la face interne des dents. Cette technique est totalement esthétique et permet de réaliser tous les objectifs de traitements. Elle est cependant moins confortable et plus onéreuse.
- Orthodontie plus classique: par bagues collées sur la face visible des dents: ces bagues peuvent être en céramique blanche afin d’être plus discrètes. Il s’agit du traitement le moins coûteux, et qui permet de réaliser tous les traitements.
Quelques techniques que nous utilisons
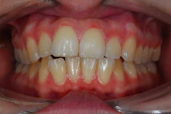
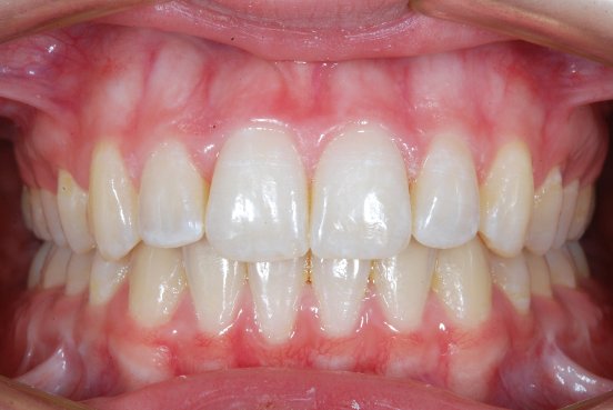
Traitement orthodontique d’alignement dentaire par technique invisible
Mme A présentait un important encombrement des incisives mandibulaires, qui la gênait de plus en plus et l’empêchait de bien brosser ses dents. Elle a choisi un traitement par aligneurs invisibles. Son traitement a duré 14 mois.
[twentytwenty]


[/twentytwenty]
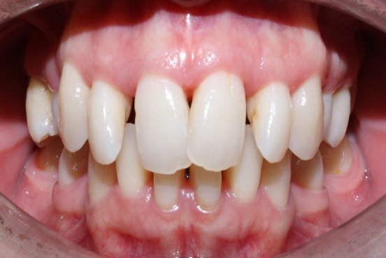
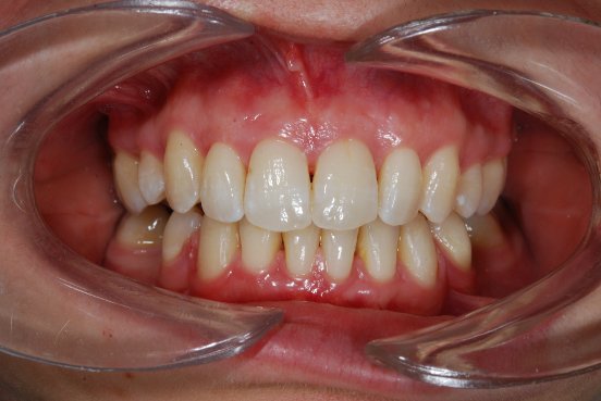
Alignement et préparation au remplacement prothétique des dents absentes
Mme B a consulté le Dr Doris Uettwiller parce que son chirurgien-dentiste traitant était gêné pour remplacer les dents manquantes. Les espaces disponibles n’étaient pas adaptés.
Le Dr Uettwiller a réalisé un traitement d’alignement et de rétablissement d’espaces dentaires suffisants pour que le chirurgien-dentiste de Mme B puisse lui remplacer ses dents manquantes.
Mme B a choisi un traitement par technique linguale. La durée du traitement orthodontique a été de 21 mois. Elle est actuellement en soin chez son chirurgien-dentiste traitant qui réalisera les prothèses dentaires.
[twentytwenty]


[/twentytwenty]
Traitement orthodontique chez un patient présentant des apnées du sommeil
Nous savons maintenant que les apnées du sommeil peuvent avoir de nombreuses conséquences néfastes: accident de la circulation par somnolence au volant, conséquences cardio-vasculaires, fatigue, dépression…
Ce syndrome affecte la qualité de vie, non seulement des personnes qui en sont atteintes, mais aussi celle de leur entourage. Leurs traitements sont divers. Quand ils sont associés à un important décalage des mâchoires, un traitement orthodontico-chirurgical d’avancée de la mâchoire inférieure peut être indiqué.
Nous contacter
Toute l’équipe est à votre disposition pour vous accueillir et vous renseigner concernant les techniques, les traitement et les questions administratives. N’hésitez pas à nous contacter pour plus d’informations