Orthodontie de l’enfant
Un traitement d’orthodontie pour l’enfant se passe généralement en 2 temps.
Le premier temps se passe avant 12 ans. Si une anomalie importante est dépistée de manière précoce (même en présence de dents de lait), nous pourrons l’intercepter pour éviter qu’elle ne s’amplifie et conduise à des désordres plus importants.
Après 12 ans, le travail s’effectue sur l’alignement des dents définitives et la coordination des 2 mâchoires.
Notre équipe est particulièrement attentive à ce que chaque enfant se sente bien et détendu dans notre cabinet à chacun de ses passages.
Votre enfant a
moins de 12 ans
Les malocclusions sont souvent dépistables à partir de 6-8 ans. Cependant si avant cet âge, votre enfant présente un trouble de la croissance des mâchoires, ou un désordre au niveau des fonctions oro-faciales (succion pouce, tétine, troubles respiratoires,…) un traitement d’interception est possible. Il se fera souvent par l’intermédiaire de petits appareils souples et amovibles, et durera entre 6 à 12 mois.
A partir de 6-8 ans, nous pourrons être amenés à surveiller régulièrement votre enfant ou à traiter des décalages de mâchoires ou encore des mâchoires trop étroites ou trop larges. Ceci dans le but d’empêcher une croissance asymétrique qui conduirait à des déformations plus importantes. Son traitement permettra de rétablir des conditions normales de croissance et une harmonie du visage.
Observez votre enfant, quelques signes peuvent vous alerter :
- Une bouche petite, étroite
- Une dent de lait qui ne tombe pas spontanément
- Des incisives supérieures très en avant
- Un décalage important entre les dents supérieures et inférieures
- Votre enfant respire la bouche ouverte
- Il ronfle la nuit
- Il a un défaut de prononciation
- Il suce son pouce au-delà de 6 ans
Un diagnostic et une prise en charge précoces peuvent éviter un traitement plus long et compliqué à l’adolescence.
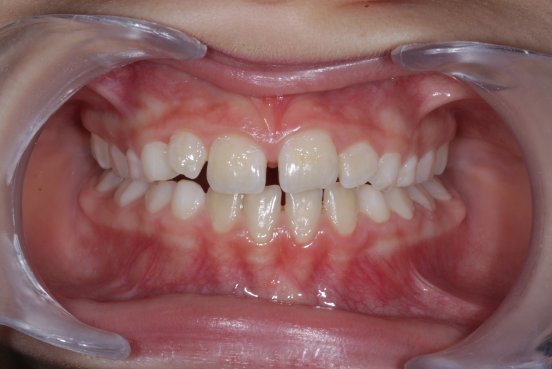
Exemple d’un traitement d’occlusion
E. est une jeune fille de 7 ans. Elle présentait une occlusion inversée du côté gauche: c’est-à-dire que les dents supérieures du côté gauche étaitent en position trop interne par rapport aux dents inférieures. La raison est une mâchoire supérieure trop étroite. Ne rien faire provoquerait un retard de croissance de la demi-mâchoire supérieure du côté gauche et un développement trop important de la demi-mâchoire inférieure côté gauche.
Nous avons donc réalisé un petit appareil amovible, qui a permis de faire grandir la mâchoire supérieure, rétablissant ainsi un emboîtement satisfaisant des 2 mâchoires et guidant ainsi la croissance dans une direction satisfaisante.
Le traitement a duré 6 mois. E s’est très bien adaptée à son appareil, en a pris grand soin et a toujours été très assidue à ses rendez-vous. E, ses parents et notre équipe sommes très satisfaits du résultat de ce traitement d’interception. Nous allons maintenant simplement revoir E chaque année afin de suivre sa croissance et vérifier que les dents définitives se mettent bien en place.
[twentytwenty]


[/twentytwenty]
Nous contacter
Toute l’équipe est à votre disposition pour vous accueillir et vous renseigner concernant les techniques, les traitement et les questions administratives. N’hésitez pas à nous contacter pour plus d’informations
Votre enfant a
entre 12 et 16 ans
La majorité des traitements orthodontiques ont lieu à l’adolescence. Avant la puberté, nous pouvons encore agir sur la croissance des mâchoires, alors qu’après, seule la position des dents peut-être modifiée. L’appareil le plus fréquent est les brackets, plus communément appelé « bagues », collées sur la face visible des dents. Ils peuvent être métalliques, ou blancs en céramique.
Ces brackets peuvent aussi être collés à l’intérieur pour être invisibles (orthodontie linguale). En fonction des corrections à effectuer, on peut également utiliser des aligneurs qui sont des gouttières transparentes, à porter 22 heures sur 24.
Exemple d’un alignement dentaire
E. est une jeune fille de 13 ans présentant un important décalage entre les 2 mâchoires. Ses incisives supérieures étaient également très inclinées vers l’arrière. Enfin, l’alignement n’était pas parfait.
E. a porté un appareil multibagues, ainsi que des élastiques pendant 24 mois. Elle a été très sérieuse, motivée et très assidue dans ses rendez-vous. Le résultat est très satisfaisant: les 2 arcades dentaires sont en parfaite concordance, les axes dentaires sont corrigés et l’alignement est rétabli.
[twentytwenty]


[/twentytwenty]